Jakiej firmy implanty wybrać?
Wybór odpowiednich implantów dentystycznych jest kluczowy dla sukcesu leczenia stomatologicznego. Na rynku dostępnych jest wiele firm oferujących różnorodne rozwiązania, które różnią się jakością, ceną oraz technologią produkcji. Wśród najpopularniejszych producentów można wymienić Straumann, Nobel Biocare oraz Osstem. Każda z tych firm ma swoje unikalne cechy i zalety, które mogą wpływać na decyzję pacjenta. Straumann jest znany z wysokiej jakości materiałów oraz innowacyjnych technologii, co czyni go jednym z liderów w branży. Nobel Biocare z kolei oferuje szeroki wachlarz produktów, które są dostosowane do różnych potrzeb pacjentów, a ich systemy implantologiczne są dobrze udokumentowane w literaturze naukowej. Osstem natomiast zdobywa coraz większą popularność dzięki konkurencyjnym cenom oraz solidnej jakości swoich produktów.
Jakie czynniki wpływają na wybór implantów dentystycznych
Decyzja o wyborze odpowiednich implantów dentystycznych powinna być oparta na kilku kluczowych czynnikach. Przede wszystkim istotne jest zrozumienie indywidualnych potrzeb pacjenta oraz jego stanu zdrowia. Lekarz stomatolog powinien przeprowadzić dokładną ocenę stanu jamy ustnej, aby określić, jakie rozwiązania będą najlepsze w danym przypadku. Kolejnym ważnym czynnikiem jest doświadczenie i kwalifikacje specjalisty, który będzie przeprowadzał zabieg. Warto zwrócić uwagę na to, czy lekarz ma doświadczenie w pracy z danymi systemami implantologicznymi oraz jakie ma opinie od innych pacjentów. Również cena implantów może mieć znaczenie dla wielu osób, dlatego warto porównać oferty różnych producentów oraz klinik stomatologicznych.
Jakie są opinie pacjentów na temat różnych implantów

Opinie pacjentów odgrywają istotną rolę w procesie wyboru odpowiednich implantów dentystycznych. Wiele osób dzieli się swoimi doświadczeniami w internecie, co pozwala innym na lepsze zrozumienie zalet i wad poszczególnych systemów implantologicznych. Często można spotkać pozytywne opinie dotyczące implantów Straumann ze względu na ich wysoką jakość oraz trwałość. Pacjenci chwalą również prostotę procedury wszczepienia oraz komfort po zabiegu. Z drugiej strony niektórzy użytkownicy mogą mieć negatywne doświadczenia związane z długim czasem gojenia lub problemami z integracją implantu z kością. Opinie dotyczące Nobel Biocare często podkreślają szeroki wybór rozwiązań oraz elastyczność systemu, co pozwala na dostosowanie leczenia do indywidualnych potrzeb pacjenta.
Jakie nowinki technologiczne w implantologii warto znać
Implantologia to dziedzina medycyny stomatologicznej, która dynamicznie się rozwija, a nowe technologie mają ogromny wpływ na jakość i efektywność leczenia. W ostatnich latach pojawiły się innowacyjne rozwiązania, takie jak implanty cyfrowe czy technologie CAD/CAM, które umożliwiają precyzyjne projektowanie i produkcję elementów protetycznych. Dzięki tym technologiom możliwe jest szybsze i bardziej komfortowe wykonanie zabiegów oraz lepsze dopasowanie implantu do anatomicznych warunków pacjenta. Ponadto rozwój materiałów biokompatybilnych sprawia, że implanty są coraz bardziej trwałe i odporne na korozję. Coraz częściej stosuje się również techniki regeneracji kości oraz zastosowanie komórek macierzystych w celu poprawy wyników leczenia.
Jakie są koszty związane z implantami dentystycznymi
Koszty związane z implantami dentystycznymi mogą się znacznie różnić w zależności od wielu czynników, takich jak lokalizacja kliniki, doświadczenie lekarza oraz wybrany system implantologiczny. W Polsce ceny implantów wahają się zazwyczaj od kilku do kilkunastu tysięcy złotych za jeden implant, co może obejmować zarówno sam implant, jak i procedurę wszczepienia oraz dodatkowe usługi, takie jak konsultacje czy badania diagnostyczne. Warto również pamiętać, że koszty mogą wzrosnąć w przypadku konieczności przeprowadzenia dodatkowych zabiegów, takich jak podniesienie dna zatoki szczękowej czy regeneracja kości. Dlatego przed podjęciem decyzji o leczeniu warto zasięgnąć informacji na temat całkowitych kosztów oraz dostępnych opcji finansowania. Niektóre kliniki oferują możliwość rozłożenia płatności na raty lub współpracują z instytucjami finansowymi, co może ułatwić pacjentom pokrycie wydatków związanych z leczeniem.
Jakie są najczęstsze pytania dotyczące implantów dentystycznych
Pacjenci często mają wiele pytań dotyczących implantów dentystycznych, które mogą wpływać na ich decyzję o leczeniu. Jednym z najczęściej zadawanych pytań jest to, jak długo trwa proces gojenia po wszczepieniu implantu. Zazwyczaj czas ten wynosi od kilku tygodni do kilku miesięcy, w zależności od indywidualnych warunków pacjenta oraz zastosowanej technologii. Kolejnym istotnym pytaniem jest to, czy zabieg jest bolesny. W większości przypadków lekarze stosują znieczulenie miejscowe, co minimalizuje dyskomfort podczas procedury. Pacjenci często zastanawiają się również nad trwałością implantów i ich żywotnością. Przy odpowiedniej pielęgnacji oraz regularnych wizytach kontrolnych implanty mogą służyć przez wiele lat, a nawet przez całe życie. Inne pytania dotyczą możliwości wystąpienia powikłań po zabiegu oraz tego, jakie czynniki mogą wpłynąć na sukces leczenia.
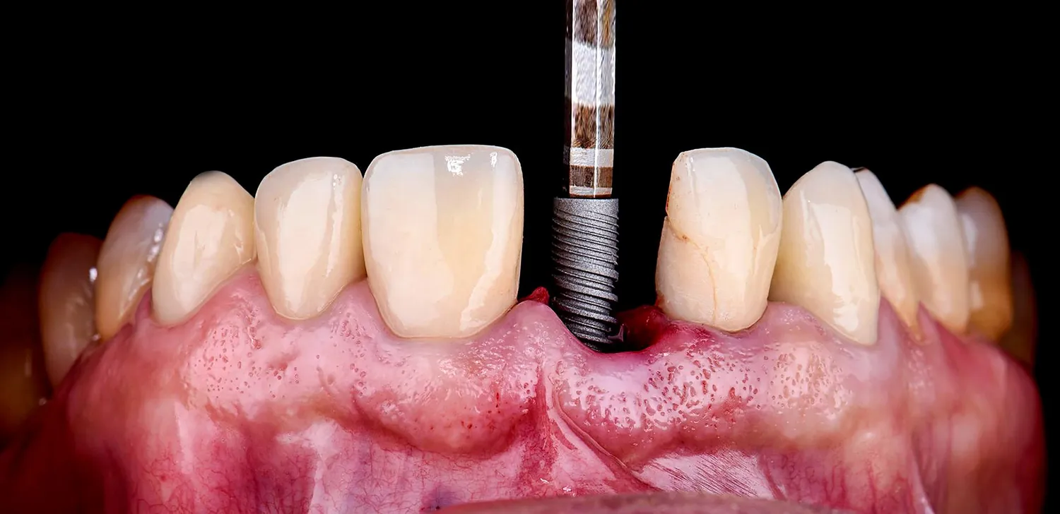
Jakie są zalety i wady różnych typów implantów
Wybór odpowiednich implantów dentystycznych wiąże się z rozważeniem zarówno ich zalet, jak i wad. Implanty tytanowe są jednymi z najczęściej stosowanych ze względu na swoją wysoką biokompatybilność oraz trwałość. Tytan ma zdolność do integracji z kością, co sprawia, że jest to materiał idealny do produkcji implantów. Jednak ich cena może być wyższa niż innych typów implantów. Z kolei implanty ceramiczne stają się coraz bardziej popularne ze względu na estetykę oraz mniejsze ryzyko wystąpienia reakcji alergicznych. Są one szczególnie polecane dla pacjentów z alergiami na metale lub dla osób poszukujących bardziej naturalnego wyglądu uzębienia. Warto jednak zauważyć, że ceramiczne implanty mogą być mniej odporne na obciążenia mechaniczne w porównaniu do tytanowych. Innym rozwiązaniem są implanty miniaturowe, które są mniejsze i mniej inwazyjne, co sprawia, że ich wszczepienie jest szybsze i łatwiejsze dla pacjentów z ograniczoną ilością kości.
Jakie są najnowsze trendy w dziedzinie implantologii
Implantologia to dziedzina medycyny stomatologicznej, która nieustannie ewoluuje w odpowiedzi na potrzeby pacjentów oraz postęp technologiczny. W ostatnich latach zauważalny jest trend w kierunku cyfryzacji procesów związanych z planowaniem i wykonaniem zabiegów implantologicznych. Dzięki zastosowaniu technologii skanowania 3D możliwe jest dokładne odwzorowanie anatomicznych warunków jamy ustnej pacjenta, co pozwala na precyzyjne zaplanowanie lokalizacji implantu oraz dostosowanie jego kształtu do indywidualnych potrzeb. Kolejnym istotnym trendem jest rozwój materiałów biokompatybilnych oraz innowacyjnych powłok na implantach, które mają na celu poprawę integracji implantu z kością oraz zmniejszenie ryzyka powikłań po zabiegu. Warto również zwrócić uwagę na rosnącą popularność technik regeneracyjnych, takich jak zastosowanie komórek macierzystych czy biomateriałów do odbudowy kości przed wszczepieniem implantu.
Jakie są różnice między implantami a mostkami protetycznymi
Decyzja pomiędzy wyborem implantu a mostkiem protetycznym często budzi wiele wątpliwości u pacjentów borykających się z brakami w uzębieniu. Implanty dentystyczne to pojedyncze sztuczne korzenie wszczepiane w kość szczęki lub żuchwy, które stanowią podstawę dla koron protetycznych. Ich główną zaletą jest to, że nie wymagają szlifowania zdrowych zębów sąsiednich, co pozwala zachować ich integralność i zdrowie. Mostki protetyczne natomiast opierają się na zdrowych zębach znajdujących się obok luki i wymagają ich oszlifowania w celu umocowania mostka. Choć mostki mogą być tańszym rozwiązaniem początkowym, ich trwałość jest ograniczona i mogą wymagać wymiany po kilku latach użytkowania. Implanty oferują długoterminowe rozwiązanie i przy odpowiedniej pielęgnacji mogą służyć przez wiele lat bez konieczności wymiany.
Jak przygotować się do zabiegu wszczepienia implantu
Przygotowanie do zabiegu wszczepienia implantu dentystycznego jest kluczowe dla jego sukcesu i powinno obejmować kilka istotnych kroków. Przede wszystkim ważna jest dokładna konsultacja ze specjalistą stomatologiem lub chirurgiem stomatologicznym, który oceni stan jamy ustnej pacjenta oraz przeprowadzi niezbędne badania diagnostyczne takie jak zdjęcia rentgenowskie czy tomografia komputerowa. Na podstawie tych informacji lekarz będzie mógł zaplanować najlepszą strategię leczenia oraz omówić oczekiwania pacjenta dotyczące efektu końcowego. Kolejnym krokiem jest przygotowanie organizmu do zabiegu poprzez zadbanie o ogólny stan zdrowia – warto unikać palenia tytoniu oraz spożywania alkoholu przed planowanym terminem operacji, ponieważ te czynniki mogą negatywnie wpłynąć na proces gojenia. Pacjent powinien również poinformować lekarza o wszystkich przyjmowanych lekach oraz ewentualnych schorzeniach przewlekłych, które mogą mieć wpływ na przebieg zabiegu.
Jak dbać o higienę jamy ustnej po wszczepieniu implantu
Prawidłowa higiena jamy ustnej po wszczepieniu implantu dentystycznego jest kluczowa dla zapewnienia jego długotrwałego sukcesu oraz uniknięcia powikłań takich jak infekcje czy periimplantitis – stan zapalny wokół implantu. Po zabiegu lekarz zazwyczaj zaleca unikanie intensywnego szczotkowania miejsca wszczepienia przez pierwsze kilka dni oraz stosowanie delikatnych technik czyszczenia jamy ustnej. Ważne jest regularne szczotkowanie zębów przynajmniej dwa razy dziennie przy użyciu miękkiej szczoteczki oraz pasty zawierającej fluor. Dodatkowo warto stosować nici dentystyczne lub irygatory wodne do oczyszczania przestrzeni międzyzębowych wokół implantu.





